Professor Guy F. Barbato
November 03, 2025
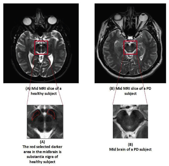
The 2004 New York Times article, entitled, Parkinson’s Research Focuses on Genes and Toxins, documented a major change in the attitude that scientists held about Parkinson disease (PD). Over the decades, PD has been perceived as a vaguely related, mostly age-related disorder of unknown origin. By 2004, however, scientists were getting more and more persuaded that the disease occurred due to a combination of rare genetic mutations and environmental toxins- usually acting jointly. Early findings that dopamine neurons would be susceptible to certain gene defects and the use of particular chemicals to cause similar damage as observed in PD patients were brought into the limelight in the article.
Both discoveries were featured in the piece on the genetic front. It was demonstrated that mutations in the alpha-synuclein (SNCA) gene led to the misfolding of the protein and killing of Lewy bodies, which are the characteristic of PD. On the same note, the early-onset cases were associated with mutations in the parkin gene, which led to the loss of capacity of the cell to eliminate damaged proteins. These uncommon family forms provided an insight into the overall condition of the disease. Meanwhile, on the toxin front, the article was how MPTP, a component of synthetic heroin, had led to the rapid, irreversible parkinsonism in young drug users in the 1980s due to an accident. This tragedy of reality lived in the world appeared to be a significant laboratory model. It was also reported that frequent use of pesticides such as rotenone and paraquat may cause P-D symptoms in animals suggesting that daily exposures may be important.
The central point of the article was that the genes and the environment interact: a person with a genetic predisposition may become PD due to exposure to toxins on low levels which would not have adversely affected another person. This framework inspired the hope of prevention (avoidance of dangerous chemicals) as well as precise treatment (misfolded proteins or mitochondrial injury).
I found this piece to be extremely progressive in my opinion. The interaction between genes and toxins described by it has become the focus of PD science--confirmed by meta-analyses of genomic data and exposure to pesticides. The MPTP tale is an underpinning of studies, which are immediately applicable in contemporary drug research. With that said, the article has exaggerated rare mutations a bit; we are now aware that most PD cases are sporadic, which are enabled by shared genetic variations as well as cumulative environmental hits. Nevertheless, its macro-thesis got old gracefully. Reading it in 2004 would have provided a sound roadmap of the direction the discipline was taking. Had agricultural policy been the pace setter with the science.
https://www.nih.gov/news-events/nih-research-matters/tracking-spread-parkinsons-proteins-gut-brain


No comments:
Post a Comment